Professional Teeth Whitening Norfolk, MA


Are you ready to whiten your teeth in Norfolk, MA?
A bright, stunning smile makes a great first impression, and professional teeth whitening is one of the most affordable ways to improve the appearance of your teeth.
At Norfolk County Dental Care, we offer several different options to help accommodate every budget and lifestyle, including take-home custom teeth whitening kits, professional strength whitening strips, in-office whitening treatment, and Philips Zoom White WhiteSpeed. We offer teeth whitening consultations to help patients choose the option that will give them the best results. All you have to do is give our Norfolk, MA dental office a call at (508) 528-6510!
- Causes of Tooth Discoloration
- How effective are over-the-counter whitening treatments?
- When is the best time to whiten teeth?
- Professional Teeth Whitening at Norfolk County Dental Care
- Take-Home Teeth Whitening Kits
- Do you offer take-home whitening strips?
- Do you offer in-house whitening treatment?
- Lasting Whitening Results
- Contact Norfolk County Dental Care to Learn More!
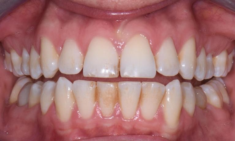
Causes of Tooth Discoloration

If you smoke or drink strong coffee, it probably makes sense that your smile is not as bright as it used to be. But even if you avoid smoking and java drinks, you still might notice that your teeth become darker with time. It is simply part of the aging process.
Common foods, often some of the healthiest ones, leave a residue on the teeth and cause a dark appearance. Blueberries, dark green vegetables, and flavorful herbs and spices are common stain-causing foods.
Professional teeth whitening in Norfolk can take years off your appearance by giving you a smile that is noticeably whiter and brighter.
How effective are over-the-counter whitening treatments?
Most dentists will agree that over-the-counter whitening gels, strips, pastes, and mouthwashes can remove some of the surface stains from teeth. But they simply don’t get below the surface of the teeth to remove deeply set stains. Professional teeth whitening breaks up these stubborn stains, making your teeth noticeably whiter after use.
Many people have a tendency to use these over-the-counter teeth whitening products incorrectly, and this can lead to sensitivity and discomfort. Professional teeth whitening at our Norfolk, MA dental office is done under your dentist’s care, and most of our patients report minimal sensitivity because we take the proper precautions to protect the gums and other soft tissues of the mouth.
When is the best time to whiten teeth?
Having your teeth professionally cleaned before you whiten your smile in Norfolk, MA will remove surface stains and tartar, making it easier for the whitening agent to come into direct contact with teeth.
Your hygienist will also polish your teeth, removing some of the build-up that collects from foods, beverages, and smoking, which will also help your teeth look their whitest best.
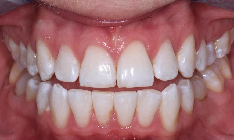
Professional Teeth Whitening at Norfolk County Dental Care
We use Philips Zoom WhiteSpeed at our Norfolk, MA dental office for fast teeth whitening that has been clinically proven to make your teeth up to eight shades whiter. We have found Philips Zoom to be the fastest, easiest, and most effective whitening solution, and we are pleased to offer it to our patients.
Many patients are concerned about sensitivity after teeth whitening treatment, but before we even get started with the Philips Zoom teeth whitening process, our Norfolk, MA top dentist will protect your gums and other soft tissues. Then your dentist will apply a unique hydrogen peroxide whitening gel to your teeth. This solution breaks down even the most stubborn stains; the intense power of the Philips Zoom WhiteSpeed Whitening LED Accelerator makes the process even more effective.
The Philips Zoom teeth whitening process is safe because it is done under the supervision of our Norfolk, MA dentist—and it provides results that are unmatched by over-the-counter whitening products.
Choosing to 