Norfolk County Dental Care
A Great Dentist

TO OUR PATIENTS,
OUR OFFICE WILL BE CLOSED 12/25 + 12/26
WISHING YOU ALL A SEASON OF SMILES - HAPPY HOLIDAYS!
 

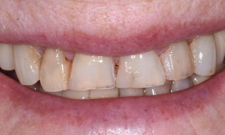
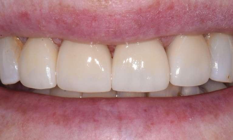
Smile Gallery

Quality Care in Norfolk

At Norfolk County Dental Care we have three skilled dentists, Dr. Xi Sun, and Dr. David Iadarola, which allows us to offer a huge range of services for our patients. In addition to general services we offer speciality care such as extractions, dental implants, and sedation. 

See The Possibilities

Browse through our gallery of actual before-and-after patient photos. Modern dentistry offers limitless options and makes it possible for every member of your family to have a smile they feel proud to show off. 

Getting an appointment is fast and easy!
Another Excellent Experience!

At this practice, you are greeted by the clerical professionals who are friendly and always make you feel welcome. My appointment for my cleaning was on time and exceptionally completed. My dental professional is patient, kind and highly skilled. What I appreciate about this practice is the manner in which they treat patients. Professionalism and a high standard of care with compassion and kindness speak to the values of all the staff. I am lucky to be a patient and while I don't look forward to my visit they do everything they can to make it more pleasant. Thank you to all.

If you have difficulty using our website, please email us or call us at (508) 528-6510
View the ADA Accessibility Statement
Privacy Policy