Norfolk County Dental Care
A Great Dentist

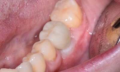
Before and After Dental Implant

The first image shows the patient’s smile before treatment, with a missing tooth affecting both appearance and function. The second image reveals the completed dental implant restoration, seamlessly filling the gap with a natural-looking, fully functional tooth—restoring the patient’s confidence and smile.

Related Services:

Dental Implants
Looking For A First Class Dental Practice?

"Look no further than Norfolk County Dental. Dr. Sun has put together a first rate team of Dentists, hygienists, nurses, Dental Assistants and office staff. The office is equipped with the latest technology which for example means what used to be two visits is now one visit My experience has been excellent. from the office staff helping with draconian insurance issues to the dental chair where my ancient teeth are maintained and kept in good health."

Ready to book an appointment?
If you have difficulty using our website, please email us or call us at (508) 528-6510
View the ADA Accessibility Statement