Skip to main content
Norfolk County Dental Care
A Great Dentist
Norfolk County Dental Care
A Great Dentist
Request an Appointment
Like us on Facebook
Visit us on Yelp
Leave a Google Review
Instagram
(508) 528-6510
158 Main Street Norfolk, MA 02056
Menu
Call
Book Now
Map
Home
About
Our Team
Dr. Xi Sun
Dr. Jimmy Alburquerque
Dr. Daniela Shkurti
Technology
Office Pictures
Services
View All
CEREC Same-Day Restorations
Cosmetic Dentistry
Dental Implants
Veneers
General Dentistry
Dental Emergencies
Teeth Whitening
Periodontal Treatment
Teeth Extractions
SureSmile®
Oral DNA Saliva Test
Laser Dentistry
Smile Gallery
View All
CEREC Same-Day Restorations
Cosmetic Dentistry
Dental Implants
General Dentistry
Teeth Whitening
Veneers
Testimonials
Patient Info
View Patient Info
Forms
Financial
FAQs
View All
Other
Cosmetic Dentistry
Dental Emergencies
Dental Implants
General Dentistry
Laser Dentistry
Periodontal Treatment
SureSmile®
Teeth Extractions
Teeth Whitening
Blog
Norfolk County Dental Care
>
Smile Gallery
>
Before and After Veneers
Before and After Veneers
Return to Smile Gallery
Previous
Next
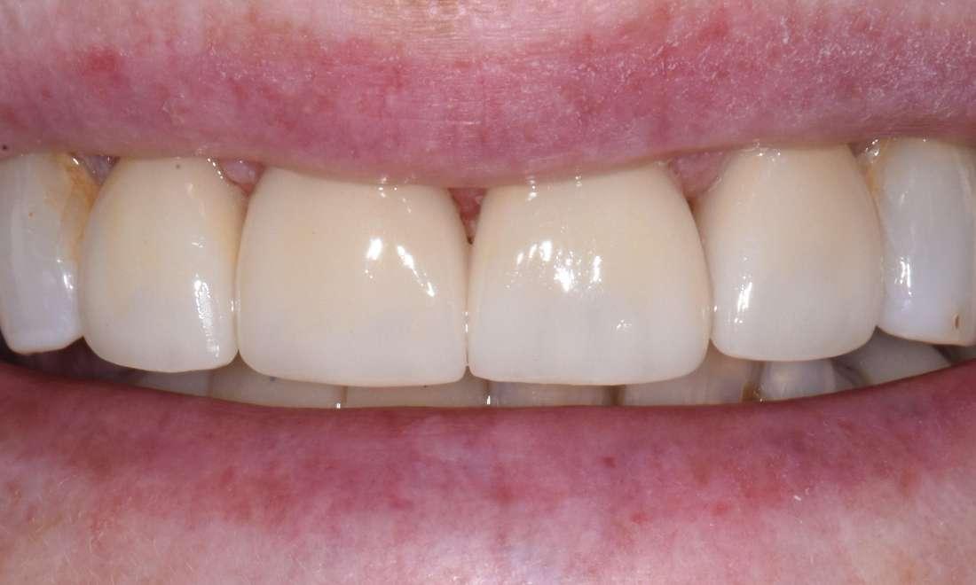
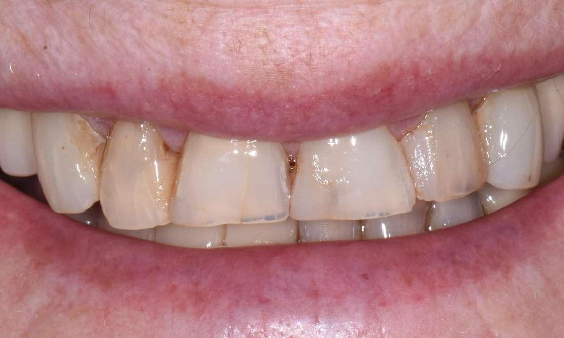
Patient has worn down her teeth and doesn't like the discoloration
Related Services:
Veneers
Before
After
Still need an appointment?
Contact Us
OK!
×
×
Contact Us Today
Give Us A Call
Norfolk County Dental Care -
(508) 528-6510
Send Us an Email
Request an Appointment
Contact Us
Ready to Schedule an Appointment?
Book Online
Have Questions? Contact Us:
Required Field
Your Name:
Phone:
Email:
Are you a new patient?:
Are you a?
New Patient
Current Patient
How would you like us to contact you?
Please choose
Email
Call
How did you hear about us?
Please choose
I'm an existing patient
Google/Bing
Mailer
Word of mouth
Social media
Other
Who Referred You?:
Appointment Preferences
Monday
Tuesday
Wednesday
Thursday
Friday
Your Message:
This site is protected by reCAPTCHA and the Google
Privacy Policy
and
Terms of Service
apply.
Sending...
×
This Patient's Experience
Loading Testimonial...
Loading Case...